
2021.09.24
视光学周记|阿托品治疗对近视儿童脉络膜厚度的影响
上海市眼病防治中心,上海市眼科医院,上海交通大学上海第一人民医院,国家眼部疾病临床医学研究中心,上海市眼底病重点实验室,上海市视觉与光医学工程中心,上海市眼科精细诊疗工程中心发表在眼科与视觉科学调查期刊的一份临床和流行病学研究探讨1%和0.01%阿托品治疗6个月后脉络膜厚度的变化及与眼轴延长相关的独立因素。
在过去的几十年里,近视的患病率大大增加,从而成为一种公共卫生问题关注。高随着近视性黄斑病变的发生和发展,近视眼会对视力造成不可逆转的损害因此因此,寻找一种有效、安全的治疗方法来预防近视眼的发展,尤其是预防近视眼的发展是非常必要的在儿童和青少年中。目前,1%阿托品已被证明对减缓近视进展具有最强的临床效果孩子们。还没有严重而持久的副作用以及停药后的反弹限制了其临床应用申请。这个反过来,也导致了使用低浓度阿托品的普及率激增,因为阿托品的使用较少阿托品停药后副作用和反弹减少。
在近视或弱视的治疗中,将1%阿托品的使用频率降低到每周一次与每日用药(分别为52.4%和5.5%)相比,副作用(畏光,0%-29%;近视力模糊,0.6%)更少。然而这种治疗方案的安全性(如距离和近视力、瞳孔大小和调节幅度)尚未得到详细评估。
脉络膜通过调节巩膜的氧气水平和分泌或传递视网膜衍生的信号到巩膜来调节眼睛的生长。以往的研究报道,在戴离焦透镜的动物和近视儿童的纵向研究中,脉络膜厚度和眼轴长度的变化呈负相关。在接受角膜塑形术治疗的近视儿童中,可以观察到脉络膜厚度的增加,且脉络膜厚度的短期增加与长期眼伸长呈负相关。在使用1%阿托品治疗1周的健康儿童和使用0.01%阿托品治疗8周以下的近视儿童中也观察到脉络膜增厚。然而,阿托品对近视儿童脉络膜厚度的长期影响及其与眼伸长的关系尚不清楚。
本研究旨在探讨中国6~12岁近视儿童用1%阿托品(每周1次)或0.01%阿托品(每天1次)治疗后眼压的变化,以及眼伸长与治疗期间眼压等因素变化的可能关系。其他目标包括治疗方案的安全性评估。
方法
研究参与者
本研究是阿托品治疗儿童和青少年近视进展研究的一部分,该研究是一项随机临床试验,评估阿托品治疗近视的疗效和安全性。这项研究的设计已经在以前进行过描述。在简言之,207名年龄在6至12岁的儿童参加了这项随机临床试验,他们的近视屈光度至少为−0.5屈光度,双眼散光度小于−2.0屈光度。排除患有眼部疾病或严重全身性疾病、曾使用过近视眼干预措施(如阿托品、哌仑西平或角膜塑形镜)或对阿托品和环虫酯过敏的儿童后,将儿童按1:1的比例随机分为两组:A组接受1%阿托品和B组接受0.01%阿托品。A组在术后第1周给予1%阿托品每日1次(探讨阿托品对睫状肌麻痹的影响),然后在术后23周每周1次。B组给予0.01%阿托品,每日1次,疗程6个月。从参与者及其父母或监护人处获得书面知情同意书。这份研究方案经中国上海市第一人民医院伦理委员会批准(批准文号:201939),并在临床实验室注册(注册号NCT03949101)。所有程序都是按照《赫尔辛基宣言》的原则进行的。
研究程序
为减少脉络膜日变化的影响,每天上午10:00~下午3:00进行测量,并根据基线访视时间提前安排2小时内随访。检查程序如前所述简单描述,每位参与者接受一系列眼科检查,包括使用非接触式眼压计测量眼压,使用眼生物测量仪测量瞳孔大小,最佳远用视力矫正,40 厘米处最佳矫正近视力,以及具有最佳矫正距离眼镜矫正的调节点近附加。调节幅度计算为调节点附近的倒数。排除睫状肌麻痹的问题后,在双眼局部滴注一滴0.5%普鲁卡因,然后每隔5分钟滴注两滴1%环戊二酸。如果瞳孔光反射仍然存在或瞳孔大小小于6.0毫米,则在45分钟后给予第三滴环戊酯。如有必要,进一步滴注环戊酯。在1周的随访中没有进行睫状肌麻痹。使用自动验光仪进行自动验光。使用眼生物测量仪测量眼轴。
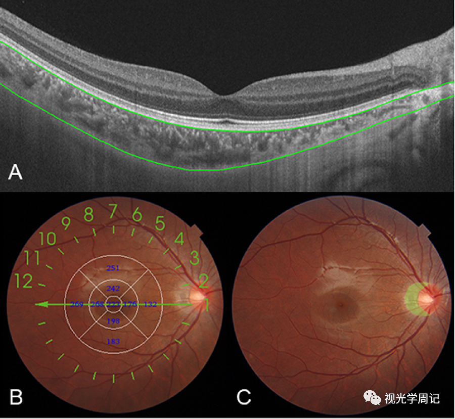
使用扫频源光学相干层析成像测量脉络膜厚度。参数已在前面描述过。使用内置软件自动获得每一层的分割,如果软件错误判断每一层的边界线,则执行手动分割。为了确定手动校正的再现性,随机选择20张需要手动分割的图像,由特定技术人员进行两次校正。定量与定性方法的结合图显示了脉络膜厚度分割的高重复性(补充图S1)。两次校正之间的平均差值为−0.1微米,95%的一致性范围为−5至5微米。观察者内相关系数为0.998。脉络膜厚度测量为布鲁赫膜与脉络膜-巩膜界面之间的垂直距离(图1A)。采用糖尿病视网膜病变早期治疗研究网格,利用内置软件计算每个网格扇区的平均脉络膜厚度。中央凹下、中央凹旁和中央凹周的直径分别为1 毫米、3 毫米和6毫米,并进一步分为上象限、下象限、颞象限和鼻象限(图1B)。由两名独立且训练有素的检查人员采用扫频率源光学相干断层扫描拍摄的视网膜照片来确定是否存在毛细血管周围萎缩(脉络膜视网膜萎缩的内新月;脉络膜视网膜萎缩的内新月,脉络膜大血管和巩膜清晰可见;图1C)。在意见不一致的情况下,由高级眼科医生作出裁决。
图1
用扫描源光学相干断层扫描技术获得一个9岁健康女孩(右眼)的脉络膜厚度和脉络膜视网膜萎缩的内新月图。脉络膜厚度,测量为布鲁赫膜(上绿线)和脉络膜-巩膜界面(下绿线)之间的距离(A)。将早期治疗糖尿病视网膜病变研究网格应用于地形图,并获得每个扇区的平均脉络膜厚度(B)。以同一个女孩的视盘为中心的视网膜照片,手动勾勒出脉络膜视网膜萎缩的内新月区域(绿色阴影区域;C)。
父母或监护人负责药物管理,并被要求保持用药日记。依从性根据6个月内每月或每周阿托品使用的平均次数进行分类。药物依从性百分比为80%或以上(即a组为3.2天/月,B组为5.6天/周)的参与者被认为具有良好的依从性并被纳入分析。如果儿童有眩光或近视力困难,则提供光致变色眼镜和老花镜(阅读补充)。在治疗期间,儿童和父母可以自由报告任何其他副作用、疾病和住院情况。记录所有不良事件,无论是否与阿托品的使用有关。
结果
主要结果是6个月内平均脉络膜厚度的变化。次要指标包括6个月时间内的眼轴、内眼轴、等效球镜、调节幅度、瞳孔大小、远用视力和近用视力的变化。内眼轴长度被定义为从前角膜到前巩膜的距离,通过将扫描源光学相干断层扫描确定的凹下脉络膜厚度与使用眼生物测量仪测量的眼轴相加来计算。
统计分析
根据这次临床试验的方案,A组受试者每周用1%阿托品1次,持续6个月,随后6个月每天用0.01%阿托品1次。假设A组的估计近视进展率为−0.37屈光度每年,这是阿托品治疗近视2(新加坡眼科中心对近视儿童展开的阿托品治疗近视2)研究中每日0.1%阿托品的近视进展率的平均值(这可能接近每周使用1%阿托品的效果,−0.31±0.50 屈光度每年)和近视进展率的75%在低浓度阿托品治疗近视进展(LAMP)研究中,每天用0.01%阿托品(−0.59±0.61 屈光度每年)。B组13名参与者在12个月内每天用0.01%阿托品,根据低浓度阿托品治疗近视进展研究中每日0.01%阿托品的结果,估计近视进展率设定为−0.59屈光度每年。组内标准偏差假定为0.6屈光度。为了检测治疗组之间至少0.5 屈光度的平均差异,158名参与者(每组79名)在显著性水平为0.05时可以达到90%的功效。考虑到20%的损耗率,这项研究需要198名受试者(每组99人)。
基线特征描述为平均值±标准差或比例。用Pearson相关系数对两项眼压参数进行相关分析。分类资料的组间差异采用χ2检验。连续数据的组间差异采用Student t检验或ANOVA和事后检验进行检验。采用配对t检验分析基线检查和随访期间的眼部参数差异以及两个黄斑区脉络膜厚度变化的差异。采用具有稳健标准误差的广义估计方程模型进行纵向数据分析,以比较年龄和性别调整后的眼部参数随时间的不同变化,并考虑重复测量。对P值进行调整,以便与顺序事后检验调整进行多重比较。以6个月以上的眼压变化为自变量,建立多元线性回归模型,以评估与其他眼部参数的可能关联。使用SPSSV.22软件进行统计分析。P值小于0.05被认为具有统计学意义。由于基线时左右眼的等效球镜、内眼轴长度和脉络膜厚度高度相关,因此只有右眼参与分析。
结果
一般特征
共有240名儿童接受了资格评估。最终207名儿童被纳入研究,A组104名,B组103名(图2)。参与者的基线特征如表1所示。两组间无显著性差异。A组102例(98.1%)和B组94例(91.2%)完成了6个月的治疗,A组98例(94.2%)和B组87例(84.5%)依从性良好。纳入分析的185名儿童的基线特征与排除在外的22名儿童的基线特征相似,但脉络膜厚度平均值较低,脉络膜视网膜萎缩的内新月比例较高。
图2
阿托品儿童青少年近视进展研究参与者的流程图。
表1
所有参与者以及纳入和排除在分析之外的参与者的基线特征
眼部参数变化
补充表S1总结了每次就诊的眼部参数,表2中显示了眼部参数随时间的变化。在A组,服用1%阿托品1周后,脉络膜厚度总体增加(26±14微米),3个月随访(29±22微米)和6个月随访(27±23微米)时脉络膜增厚程度保持不变。中央凹周围鼻象限的脉络膜厚度在水平部分中增加最少,而脉络膜厚度的垂直变化无显著差异(图3A–C)。随着时间的推移,眼轴降低(1周、3个月和6个月分别为−0.04±0.03 毫米、−0.06±0.09毫米和−0.03±0.12 毫米;)。在1周和6个月的随访中,内眼轴长度没有显著变化,但在3个月的随访中出现了显著降低(−0.04±0.08 毫米)。术后第1周远视明显移位0.38±0.21屈光度,术后3个月和6个月变化幅度分别为0.26±0.33屈光度和0.28±0.37屈光度。
表2
不同治疗组6个月以上眼部生物测量的变化
图3
A组(分别为A、B和C组)和B组(分别为D、E和F组)在1周、3个月和6个月就诊时脉络膜厚度变化的地形变化。
B组与A组相比,眼部生物特征变化有显著性差异。在1周和3个月的访视中发现脉络膜厚度略有增加(分别为8±9微米和6±12微米),随后在6个月的访视中有所下降(−5±17微米)。各行业之间的脉络膜厚度水平和垂直变化没有显著差异(图3D–F)。随着时间的推移,观察到眼轴延长和屈光进展,后3个月与前3个月相比变化更为显著。
具有基线特征的眼部参数变化
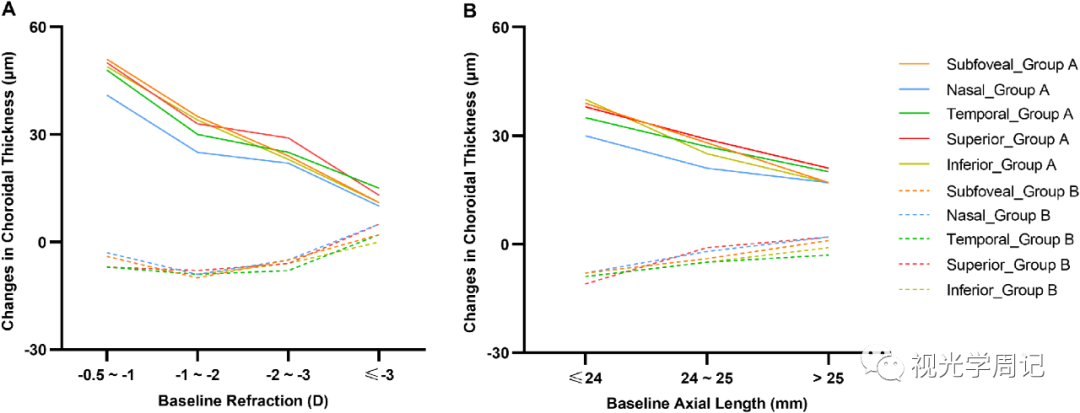
表3、图4和图5显示了6个月内眼部参数变化与基线特征之间的关系。在A组,基线时近视度数较高、基线时眼轴较长或有脉络膜视网膜萎缩的内新月存在的受试者在所有9个黄斑区的脉络膜厚度增加分别低于近视度数较低、眼轴较短或眼底正常的受试者。在近视屈光度较高或存在脉络膜视网膜萎缩的内新月的受试者中观察到明显的眼轴延长。在基线眼轴较长的受试者中,眼伸长有增加的趋势,尽管眼轴类别之间的差异在统计学上不显著。然而,在B组,这些眼部参数的变化在各组之间没有显著差异。
表3
根据基线特征分层的眼部参数变化
表4
长度变化相关因素的多元回归分析(样本数=98)
图4
两个治疗组在6个月内中心凹下和四个象限的脉络膜厚度变化按基线屈光度(A)和眼轴(B)分层。
图5
两个治疗组的中央窝和四个象限的脉络膜厚度在6个月内的变化按脉络膜视网膜萎缩的内新月的存在分层。
图6
(A) 散点图显示A组治疗6个月后的内眼轴长度变化和1周就诊时的脉络膜厚度变化(y=-0.002*x+0.06)。(B) 散点图显示A组治疗6个月和基线年龄的内眼轴长度变化(y=-0.02*x+0.17)。
眼轴延长超过6个月的相关因素
两组6个月内的内眼轴长度和脉络膜厚度变化呈负相关。在A组,6个月随访时的内眼轴长度变化与1周随访时的脉络膜厚度变化呈负相关(图6A)和基线年龄(图6B)。建立多变量回归分析,以确定与各组6个月以上心血管变化相关的独立因素。由于脉络膜视网膜萎缩的内新月的存在与基线屈光度和基线眼轴显著相关,因此模型中只加入脉络膜视网膜萎缩的内新月。结果显示,在A组,6个月内的内眼轴长度变化与年龄和1周就诊时的脉络膜厚度变化呈负相关,与调整年龄和性别后的脉络膜视网膜萎缩的内新月呈正相关(表4)。在B组,6个月随访时的内眼轴长度变化与年龄呈负相关,但与1周随访时的脉络膜厚度变化无关。
不良事件和相关眼部参数的变化
A组6个月时调节幅度和瞳孔大小的变化分别为−3.01±3.85屈光度和1.59±1.24毫米,低于1周和3个月时的变化。B组调节幅度和瞳孔大小的变化均小于A组。两组的远用视力和近视力在6个月内没有显著变化。
在A组,80.6%和66.3%的参与者报告有畏光和近视力模糊,平均持续时间分别为3.4天和4.3天。另外分别有30.6%和10.2%的参与者需要变色眼镜和老花镜。在B组中,6.9%和1.1%的受试者报告有畏光和近视力模糊,无需戴变色眼镜或老花镜。在所有参与研究的参与者中,B组的两名参与者出现过敏性结膜炎;B组的两名参与者出现头晕;B组的一名参与者出现风疹;A组的两名参与者和B组的一名参与者出现鼻出血。
讨论
在这项研究中探讨了6个月后脉络膜厚度的变化以及与眼伸长相关的独立因素。结果显示在1周的阿托品负荷剂量后,脉络膜厚度显著增加,并且在随后的每周治疗中,增加的幅度稳定。在6个月内,内眼轴长度没有明显变化。相反,0.01%阿托品(每天给药)导致6个月后的脉络膜厚度下降和明显的眼轴伸长。此外,在接受1%阿托品治疗的受试者中,短期眼压升高与长期眼球延长呈负相关。较年轻的年龄和脉络膜视网膜萎缩的内新月的存在是眼轴延长的危险因素。此外,每周使用1%阿托品评估产生的副作用。
脉络膜厚度的变化
结果显示,1周负荷剂量的1%阿托品后,脉络膜厚度显著增厚,这与南京医科大学附属无锡第二医院5年前发表在科学报告的一份阿托品对健康儿童脉络膜厚度的影响(15±16微米)的研究结果一致。在随后的每周治疗中,脉络膜增厚的程度保持不变。值得注意的是,由于第一周负荷剂量的影响,本研究无法得出每周使用1%阿托品对脉络膜厚度的影响。阿托品治疗后脉络膜增厚的潜在机制尚不清楚。根据先前的动物研究一氧化氮可能参与阿托品诱导的脉络膜增厚,可能通过松弛脉络膜血管和非血管平滑肌影响脉络膜的血流和基质成分。此外,多巴胺也可能与阿托品引起的脉络膜增厚有关。玻璃体腔内注射阿托品可增加视网膜多巴胺的释放,和多巴胺D2受体的激动剂可增加戴负镜片的雏鸡的脉络膜厚度。先前的研究发现在调节期间脉络膜厚度变薄,可能通过睫状肌和脉络膜之间的生物力学力。因此阿托品放松睫状肌后,对脉络膜厚度的生物力学效应可能向相反方向发展。需要进一步的研究来证明脉络膜增厚的潜在机制。
在接受0.01%阿托品治疗3个月的受试者中观察到脉络膜厚度略有增加,这与其他研究(5–6微米)一致。然而在6个月的随访中观察到相反的脉络膜厚度变化(−5±17微米)。结果表明,0.01%阿托品对脉络膜的影响在用药后3个月逐渐减弱,而在用药后3个月内,脉络膜厚度则逐渐降低。相反,与前3个月(夏季和秋季)相比,参与者在后3个月(秋季和冬季)可能会经历更显著的近视进展和眼轴延长,可能是因为花在近距离工作上的时间更多,花在户外的时间更少。因此,在第二个3个月内可以观察到脉络膜变薄,眼球生长加快,这可能超过最初由0.01%阿托品引起的轻微脉络膜增厚。需要一个至少1年的较长观察期来说明潜在的机制。
内眼轴长度的变化及其与脉络膜厚度变化的关系
由于脉络膜厚度的变化会影响眼轴,因此本研究采用了内眼轴长度,揭示了眼部生长的真实本质。治疗6个月后,A组的内眼轴长度无明显变化;相反,接受0.01%阿托品治疗的受试者出现了明显的眼球延长。越来越多的证据表明脉络膜在调节眼睛生长中的作用。在这项研究中,两组患者6个月随访时的脉络膜厚度变化与6个月以上的眼压变化呈负相关。角膜塑形术治疗的近视儿童也有类似的结果。这些结果表明,脉络膜增厚可能通过影响分子信号的合成活性和脉络膜的传输能力参与了眼生长迟缓或通过增加脉络膜厚度和脉络膜血流量和减轻巩膜缺氧。
研究发现,在A组中,1周就诊时的脉络膜厚度变化与6个月内的内眼轴长度变化呈负相关,这表明在每周治疗的情况下,负荷剂量为1%阿托品后的短期脉络膜厚度增加可以预测长期的眼球延长。然而每天使用1%阿托品1周会引起严重的副作用;因此,更短的加载剂量持续时间可以指示眼睛的长期伸长,这应该在未来的研究中进一步探索。
A组眼伸长相关因素分析
先前的研究表明,年龄较小和基线处较高的近视屈光度是接受阿托品治疗的近视儿童近视进展的危险因素。在A组,6个月以上的眼生长与基线年龄和近视屈光度呈负相关。此外,在接受1%阿托品治疗的受试者中,脉络膜视网膜萎缩的内新月的存在是另一个影响眼伸长的独立因素。脉络膜视网膜萎缩的内新月组与未脉络膜视网膜萎缩的内新月组间的内眼轴长度变化差异相对较小,这可能是由于观察过程有限所致。脉络膜视网膜萎缩的内新月是一种早期的视神经变形,与近视眼中轴向伸长引起的视盘旋转有关。脉络膜视网膜萎缩的内新月的发展和增大是病理性近视的危险因素。有脉络膜视网膜萎缩的内新月的患者更明显的眼伸长的真实性质仍不清楚。我们推测视神经的变形和巩膜的拉伸可能影响视网膜、视网膜色素上皮和脉络膜的功能,最终导致脉络膜增厚减少和眼睛生长增加。眼压变化与基线眼压无显著相关性,说明作为二维参数的眼压不能全面反映眼变形。
阿托品治疗的安全性
本研究全面评价了与副作用相关的眼部参数。每周使用1%阿托品6个月后,调节幅度和瞳孔大小的变化与新加坡眼科中心对近视儿童展开的阿托品治疗近视2研究中的0.1%阿托品组(每天给药,分别为-2.77±1.03屈光度和2.42±0.91 毫米)和低浓度阿托品治疗近视进展研究中的0.05%阿托品组(每天给药,−2.38 ± 2.70 屈光度和1.06 ± 1.07毫米)的变化相当与以往每周或每月使用1%阿托品的研究相比,本研究报告的畏光和近视力模糊发生率较高(畏光,0%–62.1%;近视力模糊,0.6%–19.7%)。这些副作用是可以忍受的,考虑到持续时间短,对光致变色或老花镜的需求低。在每天用0.01%阿托品的受试者中,畏光和近视力模糊的发生率要低得多,这与低浓度阿托品治疗近视进展研究中的发生率相似(分别为2.1%和1.8%)
局限性
本研究有一定的局限性。首先,本研究不包括安慰剂对照组。近视儿童展开的阿托品治疗近视研究低浓度阿托品治疗近视进展研究的结果清楚地表明,与安慰剂相比,阿托品治疗的有效性,使得安慰剂组不道德。其次6个月的随访期可能不足以提供阿托品治疗方案的疗效和合适的疗程以及停药后的反弹的充分信息。第三,尽管要求所有父母或监护人都要记录用药日记,但无法评估这样做的准确性,因此可能会影响结果。第四,瞳孔大小是在正常情况下测量的(估计为150勒克斯);因此,基线瞳孔大小大于以往研究中报道的300勒克斯。第五,户外活动时间和近距离工作时间,已被确定为高度近视的危险因素,未被考虑在内在本研究中。
结论
数据表明,1%阿托品可增加脉络膜厚度,而0.01%阿托品可在治疗6个月后降低脉络膜厚度。对于接受1%阿托品治疗的受试者,短期眼压升高可以预测长期的眼球延长。患有脉络膜视网膜萎缩的内新月的近视儿童应密切监测,因为他们对1%阿托品的反应相对较差,并且有发展为高度近视和病理性近视的高风险。
这份文献数据认为6个月每周一次1%阿托品可使脉络膜厚度增厚,而半年内每天一次0.01%阿托品可使脉络膜厚度降低。接受1%阿托品治疗的受试者,短期眼压升高与长期眼球生长呈负相关。年龄小和存在的毛细血管周围萎缩被认为是更大的眼睛延长的危险因素。
如果只考虑文献数据,似乎无法支持日常使用可能降低脉络膜厚度的0.01%浓度的阿托品
声明:本文并非医学诊断建议也非眼部健康信息建议
Related news